About Us
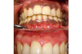
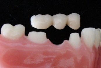
Dental Hub Maxillofacial Centre is a versatile dental facility that offers a unique experience to visitors. We offer specialized dental treatments in various specializations such as root canal treatment, orthodontics, implant fixing, tooth surgery, tooth whitening, smile design etc to name a few. A lot of expert specialized doctors are associated with us always ready to provide any sort of treatment that we demand from them.
Whatsapp
Call Now






